指導医紹介

小川 雄大

小川 雄大Yudai Ogawa

  • THREEE.主宰
  • 日本歯周病学会認定医
  • 日本口腔外科学会認定医
  • 日本口腔インプラント学会
  • AO ( Academy of Osseointegration ) Active member
  • ITI member
  • 慶應義塾大学病院歯科口腔外科共同研究員
  • 東京歯科大学組織発生学講座専攻生
小川雄大先生は、日本を代表する歯周病・インプラント分野のスペシャリストです。 その卓越した技術力と治療成績は国内外で高く評価され、若手歯科医師の中でも「国内No.1」と称されています。 通常であれば抜歯と診断されるような歯でも、再生療法によって保存を可能にし、また骨が不足してインプラント治療が困難とされる症例に対しても、骨再生技術により治療を成功へ導いています。 さらに、歯周病外科治療においては独自の術式を考案し、その革新的なアプローチは海外でも注目を集めています。 ハーバード大学をはじめとする世界有数の大学・学会から講師として招聘されるなど、国際的にも高い評価を受けています。

■講演実績

  • 講演1オーストラリアの学会で日本代表として講演
  • 講演2ハーバード大学での講演

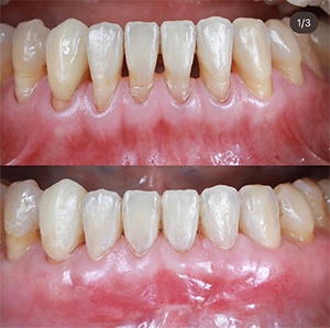
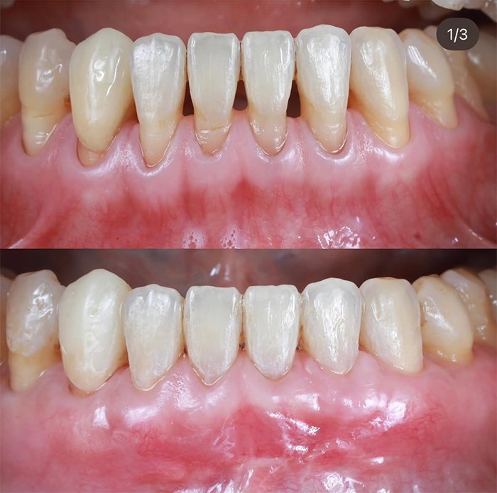
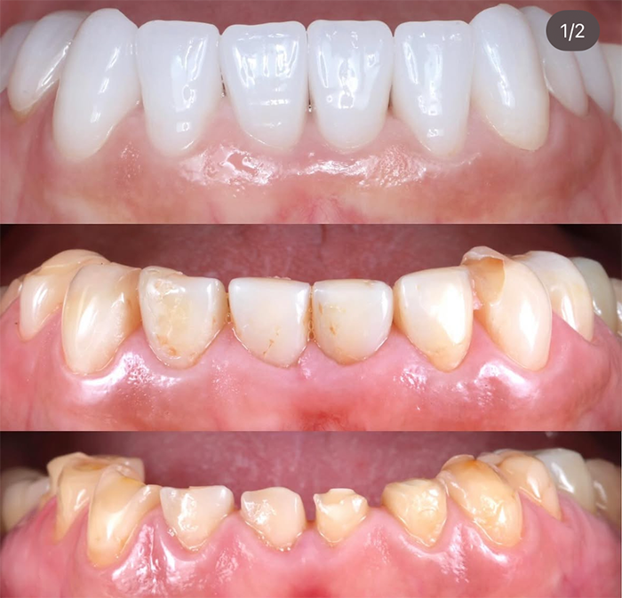
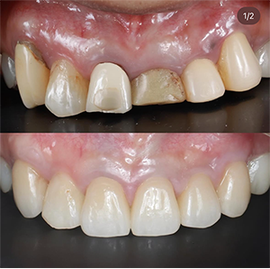
小川医師の実績紹介

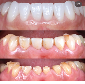
  • case01

    01のサムネイル
  • case02

    02のサムネイル
  • case03

    03のサムネイル
  • case04

    04のサムネイル
  • case05

    05のサムネイル